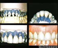
Crowns
A dental crown fits over the remaining part of a tooth, helping to strengthen it and making it look like a whole, natural tooth once more.
There are a number of reasons why we may recommend them. Your tooth may be very decayed and not strong enough to be filled any more, the top part of the tooth may have been accidentally damaged, or you may need one following root canal treatment. Crowns are also sometimes needed to help support a dental bridge
Our crowns are created by experienced craftsmen working in a dental laboratory, who use natural-looking Zirconia to produce a crown which is strong, long lasting and virtually indistinguishable from your natural teeth. Zirconia is a biocompatible material, which is why we are keen to use it.

This page was last updated on the 21st of September 2015