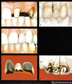
Bridges

Bridges are a permanent and realistic looking way of filling a gap between teeth caused by one or more missing teeth.

A bridge is a false tooth which is held in place by the teeth next to it. It is usually made of a precious metal base such as gold, with tooth-coloured porcelain bonded to any visible areas to make it look natural.

Most often, the two neighbouring teeth - one on each side - will need to have crowns fixed onto them. The two crowns are then joined together by placing the false tooth between them and cementing them in place. This is known as a fixed bridge.
Creating a fixed bridge is usually a good option if the teeth either side are strong enough to support the bridge, but are already crowned or have had large fillings.

This page was last updated on the 21st of September 2015